Praxis für Kieferorthopädie SOS HILFE

SOS KIEFERORTHOPÄDIE

Tipps und Tricks zur schnellen Selbsthilfe

Herausnehmbare Zahnspangen

  • Meine Zahnspange drückt. Was soll ich tun?

    Druck an den Zähnen ist vom Kieferorthopäden gewünscht, da auf diese Weise Zahnbewegungen stattfinden. Drückt die Zahnspange aber am Zahnfleisch, oder sind Lippen- oder Zungenbändchen schmerzhaft und lässt der Schmerz nicht rasch nach? Rufen Sie uns an und vereinbaren Sie einen SOS - Termin.

  • Meine Zahnspange ist defekt / kaputt. Was jetzt?

    Ist ein kleines Stück vom Kunststoff an der Spange abgebrochen und stört nicht? Sie müssen nicht extra vorbei kommen, informieren Sie uns aber beim nächsten Termin.
    Kann die Zahnspange nur noch schlecht oder gar nicht getragen werden – oder ist ein Schaden an einem Draht entstanden? Vereinbaren Sie bitte einen SOS - Termin.

  • Meine Zahnspange passt nicht mehr. Was soll ich tun?

    Häufig kommt es im Wechselgebiss zu wackelnden Milchzähnen, an denen Klammern keinen Halt mehr finden, oder der Druck am entsprechenden Milchzahn ist unangenehm. Versuchen Sie den Zahn rasch „rauszuwackeln.“ Ansonsten rufen Sie an (SOS-Termin) – wir helfen Ihnen gerne!

    Wird die vom Kieferorthopäden empfohlene Tragezeit, nicht eingehalten, kann es rasch zu Zahnverschiebungen kommen, die nicht gewollt sind. Dies führt zu starken Spannungen, die Spange „sitzt“ nicht mehr richtig. Rufen Sie bitte an, wenn dies der Fall sein sollte (SOS - Termin).

    Zahnspangen, welche aktiv geschraubt werden, können manchmal zu „schnell“ geschraubt werden. Das Gewebe hat nicht die Zeit sich anzupassen. Drehen Sie die Schraube entgegen der Pfeilrichtung 1x zurück. Passt Sie wieder? Eventuell müssen Sie mehrfach diesen Vorgang wiederholen. Passt Sie immer noch nicht, machen Sie bitte einen SOS - Termin aus, damit wir die Spange zügig „anpassen“ können.

    Hilfe für Zahnspangen Zahnspangen SOS Hilfe Hilfe bei Zahnspangen Schmerzen

Feste Zahnspangen

  • Separiergummis
    Feste Zahnspangen Hilfe

    Haben Sie einen von uns eingebrachten blauen Separiergummi verloren? Der Zahnkontakt hat sich weit genug geöffnet und das entsprechende Band kann beim nächsten Termin eingebracht werden – Sie brauchen keinen Kontrolltermin zu vereinbaren.

    Versuchen Sie allerdings nicht manipulativ den Gummi selbst zu entfernen und meiden Sie klebrige Nahrungsmittel, durch die der Gummi frühzeitig verloren gehen kann.

  • Schmerzen nach dem Einsetzen der festen Zahnspange/Bogenwechsel

    Direkt nach dem Einsetzen der festen Zahnspange sowie nach dem Bogenwechsel wird (mehr) Druck auf die Zähne ausgeübt. Dadurch werden die Zähne empfindlich.

    Sie dürfen gerne ein leichtes Schmerzmittel einnehmen. Essen Sie bevorzugt weiche Nahrung. Werden die Beschwerden innerhalb weniger Tage nicht besser, machen Sie bitte einen SOS - Kontrolltermin aus.

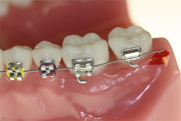
  • Ein Metallring oder ein Bracket ist lose
    Bogenwechsel Zahnspange Tipps Dr. Christina Welscher - Fachzahnärztin für Kieferorthopädie

    Beide Elemente müssen möglichst rasch wieder befestigt werden, um ungewollte Zahnabweichungen zu vermeiden! Vereinbaren Sie bitte einen SOS - Termin in unserer Praxis.

  • Der Draht sticht, der Bogen hat sich aufgezwirbelt oder ist herausgerutscht?
    Draht der Zahnspange verrutscht

    Der Bogen kann sich durch Zahnbewegungen am Ende der Zahnreihe „verlängern“, wodurch er überstehen kann und dem Patienten in die Wangenschleimhaut piekt.

    Ebenfalls können Metallligaturen unangenehm in die Schleimhäute stechen. Hierfür geben wir Ihnen beim ersten Termin immer ein Schutzwachs mit, welches Sie auf diese Stellen als Schutz aufbringen können.

    Feste Zahnspange Hilfe

    Ebenso können Sie versuchen feine Metallligaturen mit dem Fingernagel in Richtung der Brackets zurückzubiegen.

    Bitte unterlassen Sie Maßnahmen wie das eigenständige Kürzen oder Entfernen des Bogens! Bringt das Schutzwachs bzw. das Zurückbiegen keine Linderung – rufen Sie uns bitte an, wir helfen Ihnen!

  • Einzelgummis / Einzeldrähte
    Zahnspange Hilfe bei Problemen

    Der Bogen, welcher nur in den Brackets sitzt und nicht wie bei einem selbstligierenden Bracket durch eine Klappe gesichert ist, hat einen Gummi oder einen Einzeldraht zur Befestigung. Geht an einem einzelnen Zahn ein Draht/Gummi verloren, kann dieser am nächsten Kontrolltermin wieder angebracht werden – verschiebt sich der entsprechende Zahn jedoch, machen Sie zeitnah einen SOS - Termin aus.

  • Zahnlücken

    Dass sich im Zahnbogen Lücken bilden, ist vor allem am Anfang ganz normal. Im Zahnbogen sind diese Lücken für den Kieferorthopäden notwendig, um Zähne „bewegen“ zu können. Alle Lücken werden am Ende der Behandlung geschlossen. Sollten Sie dennoch Rückfragen haben, sprechen Sie uns an.

  • Gummikette
    Zahnlücken Probleme

    Gummiketten - sogenannte „Chains“ - verwenden wir, indem sie über die Brackets gespannt werden. Sollte eine solche Kette verloren gehen, oder reißen, machen Sie bitte einen SOS - Termin aus, um diese auszutauschen.

  • Gummizüge und ihre Häkchen
    Gummizüge feste Spange Hilfe

    Können die Gummizüge nicht richtig eingehängt werden, weil das Häkchen sich gelockert oder komplett gelöst hat, machen Sie bitte zeitnah einen Termin aus, um es zu erneuern.

    Wissen Sie nicht mehr wie die Gummizüge eingehängt werden? Wir haben Ihnen eine Notiz auf der Verpackung gemacht.

  • Kiefergelenkschienen / Schnarcherschienen

    Sollte die Schiene gebrochen oder defekt sein, machen Sie bitte einen Termin bei uns aus und bringen Sie die vorhandene Schiene mit. Wir werden sehen, ob eine Reparatur möglich ist, oder ob die Schiene neu angefertigt werden muss.

  • Gaumennahterweiterungsapparatur (GNE)
    Schnarchschiene / Kiefergelenkschiene

    Sollte sich zu Beginn eine Lücke zwischen den mittleren Schneidezähnen bilden ist dies ein gewünschter Effekt und spricht für den Erfolg der Apparatur. Ebenso ist zu Beginn ein leichter Druckschmerz möglich. Sie dürfen ein leichtes Schmerzmittel einnehmen.

    Nahrungsreste, die sich unter den Drahtelementen einbeißen, können Sie mit Hilfe eines Zwischenraumbürstchens und bei Bedarf mit einer Pinzette entfernen. Hat sich die Apparatur gelöst? Sie müssen umgehend einen SOS - Termin vereinbaren.

    Haben Sie Fragen oder bestehen Unklarheiten? Rufen Sie uns an.

  • Gesichtsmasken
    Gesichtsmasken Tipps

    Sind die Kinn- oder Stirnpolster abgenutzt? Sprechen Sie uns an, wir erneuern Sie Ihnen gerne. Sind die Befestigungsgummis aufgebraucht? Sie erhalten an unserer Rezeption auf Anfrage die geeignete Stärke.

    Sollte es Ihnen nicht möglich sein, diese persönlich bei uns abzuholen, können wir Ihnen die Gummis in Ausnahmefällen auch per Post zukommen lassen.

    Sollte die Maske verbogen sein oder ist der Sitz ist nicht mehr richtig? Melden Sie sich bei uns für einen zügigen SOS - Termin.

  • Haltebogen (Retainer) – Klebestelle hat sich gelöst
    Haltebogen Klebestellen Tipps

    Ist eine Klebestelle gebrochen sollten die herausnehmbaren Nachtspangen bis zum nächsten Termin konsequent getragen werden, da die Zähne sich in der Haltephase noch rasch verschieben können.

    Kommt es zu Bewegungen der Zähne, vereinbaren Sie zeitnah einen SOS - Termin.

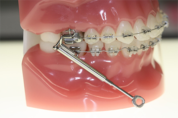
  • Herbst / SUS
    SUS bei Zahnspangen Hilfe

    Sie haben von uns ein Scharnier bekommen und die Stege sind auseinandergerutscht? Dann öffnen Sie den Mund so weit wie möglich und versuchen Sie die Scharnierstangen wieder einzufädeln (wie es Ihnen beim Einsetzen des Scharniers gezeigt worden ist). Funktioniert es nicht? Rufen Sie bitte bei uns an und machen umgehend einen SOS - Termin aus.

    Hilfe für Zahnspangen - Kieferorthopädie

    Ist das Scharnier gebrochen? Rufen Sie bitte bei uns an und machen Sie umgehend einen SOS - Termin aus.

    Zahnspangen SOS

    Ist das Scharnier locker geworden? Rufen Sie bitte bei uns an und machen Sie umgehend einen SOS - Termin aus.

Wichtiger Hinweis zu Notfällen der Kieferorthopädie


Bei unseren SOS Tipps und Tricks zu Notfällen für Zahnspangen handelt es sich nur um erste Ansätze zur schnellen Selbsthilfe zu Hause. Bei andauernden Schmerzen und Problemen ist ein Besuch in unserer Praxis für Kieferorthopädie in Neuötting unumgänglich. Bitte kontaktieren Sie uns hierfür telefonisch unter: +49(0) 8671 72261.

KONTAKT & DOWNLOADS


Download von Formularen der Praxis

DOWNLOADS

WICHTIGE FORMULARE

Wir schreiben unseren Patientenservice groß. Darum bieten wir Ihnen in unserem Downloadbereich ganz einfach unsere Formulare, wie z.B. unseren Anamnesebogen, zum Download an.

ZU DEN FORMULAREN...
Terminvereinbarung für Kieferorthopäde / Oralchirurgie

TERMINE

KONTAKT & ANFAHRT

Sie möchten einen Termin in unserer Praxis vereinbaren oder suchen unsere Adresse für die Navigation? Alle wichtigen Informationen zu Kontakt und Anfahrt finden Sie ganz einfach auf einer Seite.

ZU KONTAKT & ANFAHRT...